قضية العميل
نشرت في: August 29, 2024
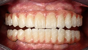
المدير: إيفايلو ديميتروف من بلغاريا
المواد: Yucera 4D Pro قرص الزركونيا متعدد الطبقات
الظل: A1
نشرت في: August 29, 2024
المدير: إيفايلو ديميتروف من بلغاريا
المواد: Yucera 4D Pro قرص الزركونيا متعدد الطبقات
الظل: A1
ترك رسالة
سنعاود الاتصال بك قريباً
رسالتك يجب أن تكون بين 20-3000 حرف!
تفقد بريدك الالكتروني من فضلك!
المزيد من المعلومات تسهل التواصل
تم التقديم بنجاح!
سنعاود الاتصال بك قريباً
ترك رسالة
سنعاود الاتصال بك قريباً
رسالتك يجب أن تكون بين 20-3000 حرف!
تفقد بريدك الالكتروني من فضلك!